
Retina
Latest News

Video Series

Latest Videos
Podcasts
CME Content
More News

The EXTEND trial provided 5-year follow-up for 10 patients with advanced retinitis pigmentosa, who had previously received MCO-010 during a phase 1/2a trial

SPVN20 is a gene-agnostic, intravitreal AAV-based gene therapy that targets dormant cones to restore vision, according to SparingVision

The satellite of the US-based University of Miami Health System will offer a “full spectrum of ophthalmic services” in the United Arab Emirates

Reporting from the European Society of Retina Specialists annual congress

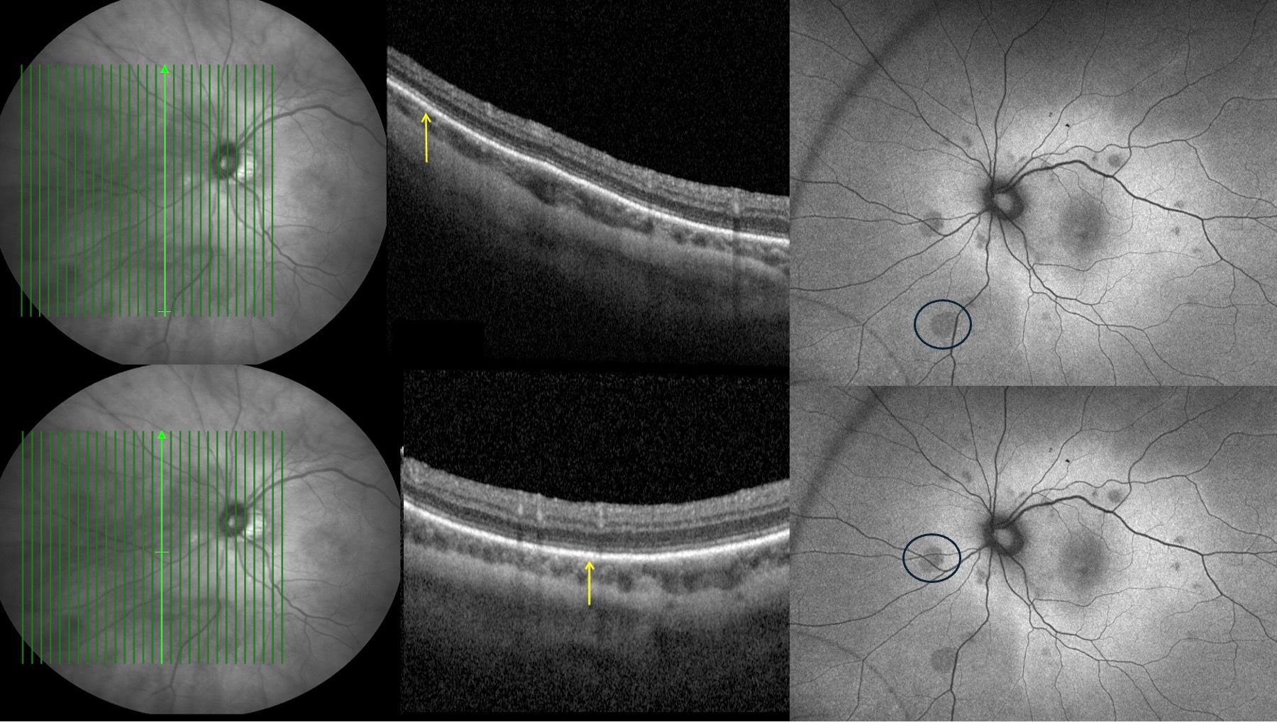
The investigators noted that this report is the first about subretinal drusenoid deposits in Black and Hispanic patients with age-related macular degeneration

Patients with proliferative diabetic retinopathy, central retinal vein occlusion and branch retinal vein occlusion experienced fluctuating retinal perfusion, investigators reported

Biomarkers and fine-tuned staging are key to progress in improving retinal care, according to Fanka Gilevska, MD, PhD


Patient response focused on perceived vision-related quality of life outcomes, investigators said

EyeArt uses artificial intelligence for autonomous detection of vision-threatening diabetic retinopathy

The current staging system fails to fully capture the neurovascular unit's status, said Stela Vujosevic, Md, PhD, FEBO

Alteogen received a positive CHMP opinion for EYLUXVI in July 2025

Artificial intelligence is quickly expanding the breadth and depth of information clinicians can interpret, Prof Uy said

Prof Stanzel detailed new advancements in proliferative vitreoretinopathy and a hyperaspheric IOL designed for patients with age-related macular degeneration

Discover how the International Retinal Imaging Society fosters collaboration among specialists to advance retinal imaging and transform clinical practices.

The Vit-Buckle Symposium fosters global collaboration among eye care professionals, emphasizing interactive learning through challenging surgical case discussions.

This year's EURETINA meeting boasts a crowd of 10,000 attendees, including delegates, industry leaders, and young retina specialists.

Dr Ramtohul's research uses electrophysiologic testing to study the retinal ganglion cells

The US Food and Drug Administration (FDA) also granted RMAT designation for MCO-010 in Stargardt disease (SD).

Presentation topics will include therapies for age-related macular degeneration, X-linked retinitis pigmentosa and other retinal pathologies

Clinical leaders including Susan Schneider, MD; Lejla Vajzovic, MD; and Harvey Uy, MD, will share new clinical findings

An understanding of GA growth kinetics is key to addressing the pathophysiology of age-related macular degeneration

Where to find members of our editorial board at this year's European Society of Retina Specialists Congress

Answering all the questions ophthalmologists may have ahead of the EURETINA Congress in Paris, France

The province's public health insurance scheme, Régie de l’assurance maladie du Québec (RAMQ), covers faricimab for three indications




























































